• professional competent services

    Introducing Smile R’ Us

    Healthy smiles begin here. Experience accessible, personalized dental and orthodontic care in Penang—schedule your visit today.

  • comprehensive professional dental services

    Various Services Offered

    Full-service dentistry offering preventive, restorative, cosmetic, orthodontic, and implant treatments.

  • warm service

    Friendly Care at Smile R Us

    Comprehensive dentistry delivered with genuine warmth and patient-focused comfort.

You name it, we have it

Scaling

Outline of two teeth with dental floss between them

Maintain oral health with our thorough scaling and cleaning. Our skilled hygienists remove plaque and tartar for a comfortable, fresh, healthy mouth.

Teeth Whitening

Outline of a tooth, representing dental care or dentistry.

Brighten your smile in one visit with our tailored, effective teeth whitening for sensitive teeth.

Braces

White outline of a smiling mouth with braces on black background.

Choose metal or tooth‑colored ceramic braces. Our orthodontists tailor treatment for a comfortable, effective path to a straighter smile.

Retainer Aftercare

Line drawing of a pair of muscular arms flexing, depicted with outline and shading

Ongoing care with bracket adjustments and personalized aftercare to keep braces effective, comfortable, and your smile aligned.

Why Trust Us?

25

Years Experience

10000+

Smiles Created

98%

Are Client Referrals

  • The way you tell your story online can make all the difference

    Quote Source

  • Maybe you want to launch a business

    Quote Source

  • Maybe you want to turn a hobby into something more

    Quote Source

  • Maybe you have a creative project to share with the world

    Quote Source

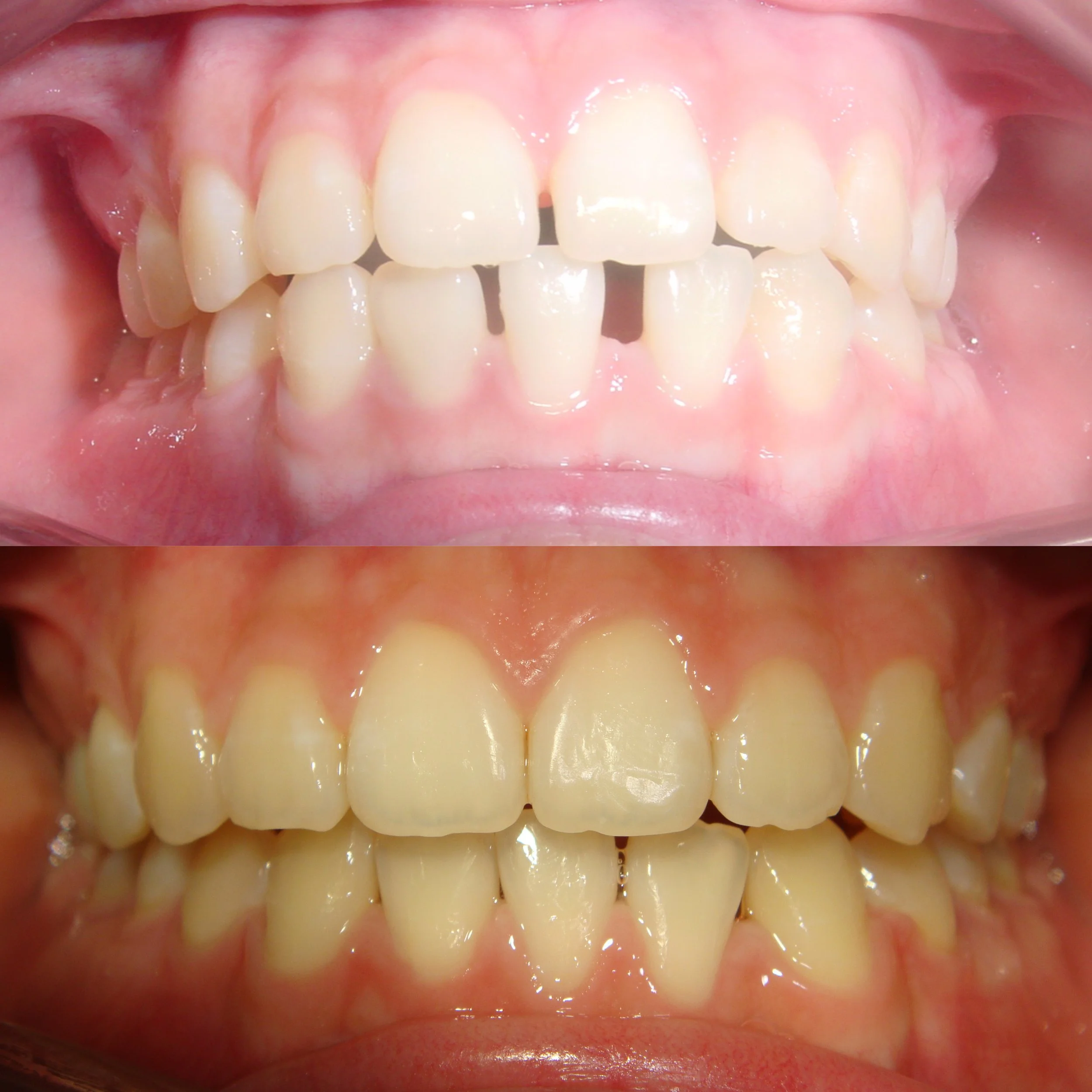
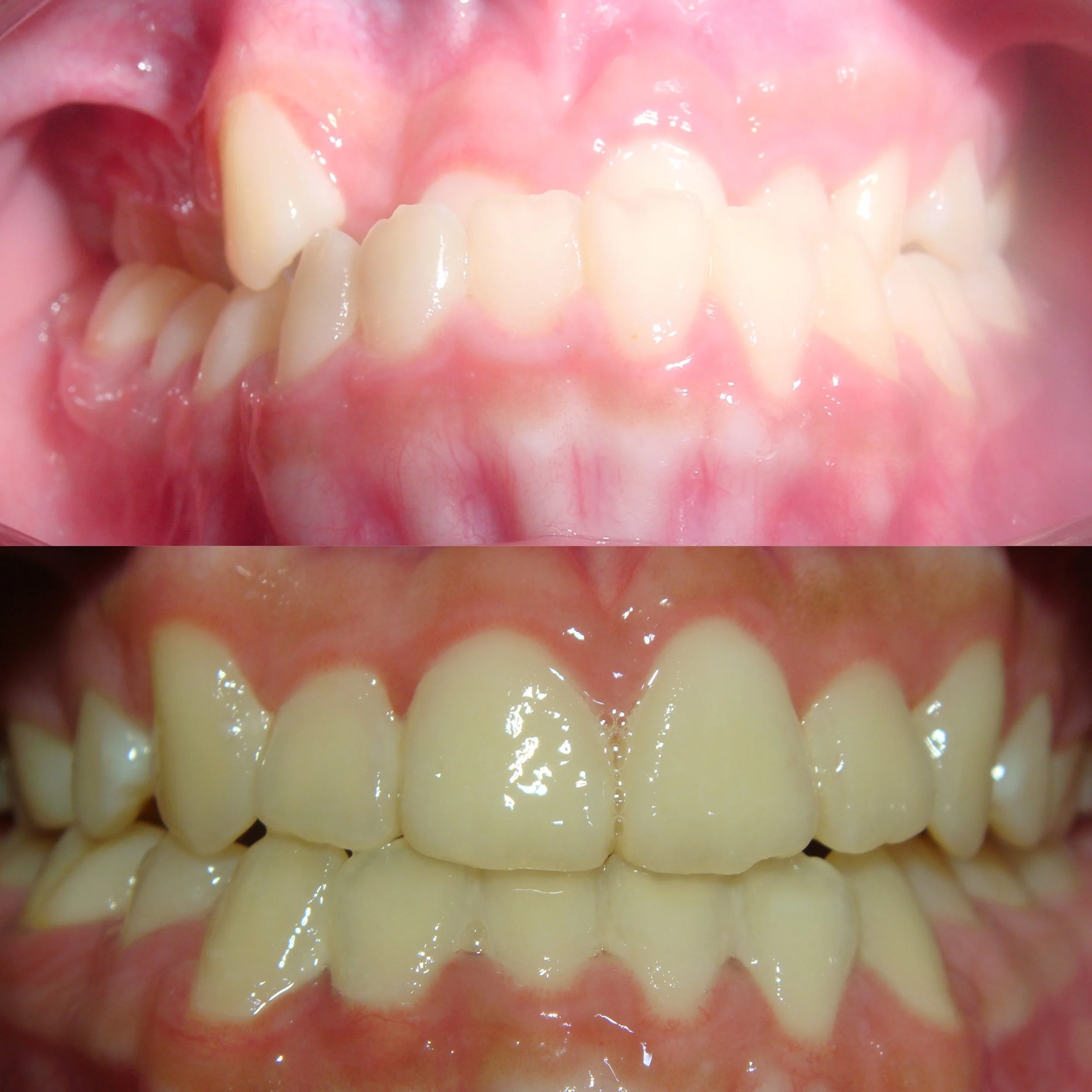
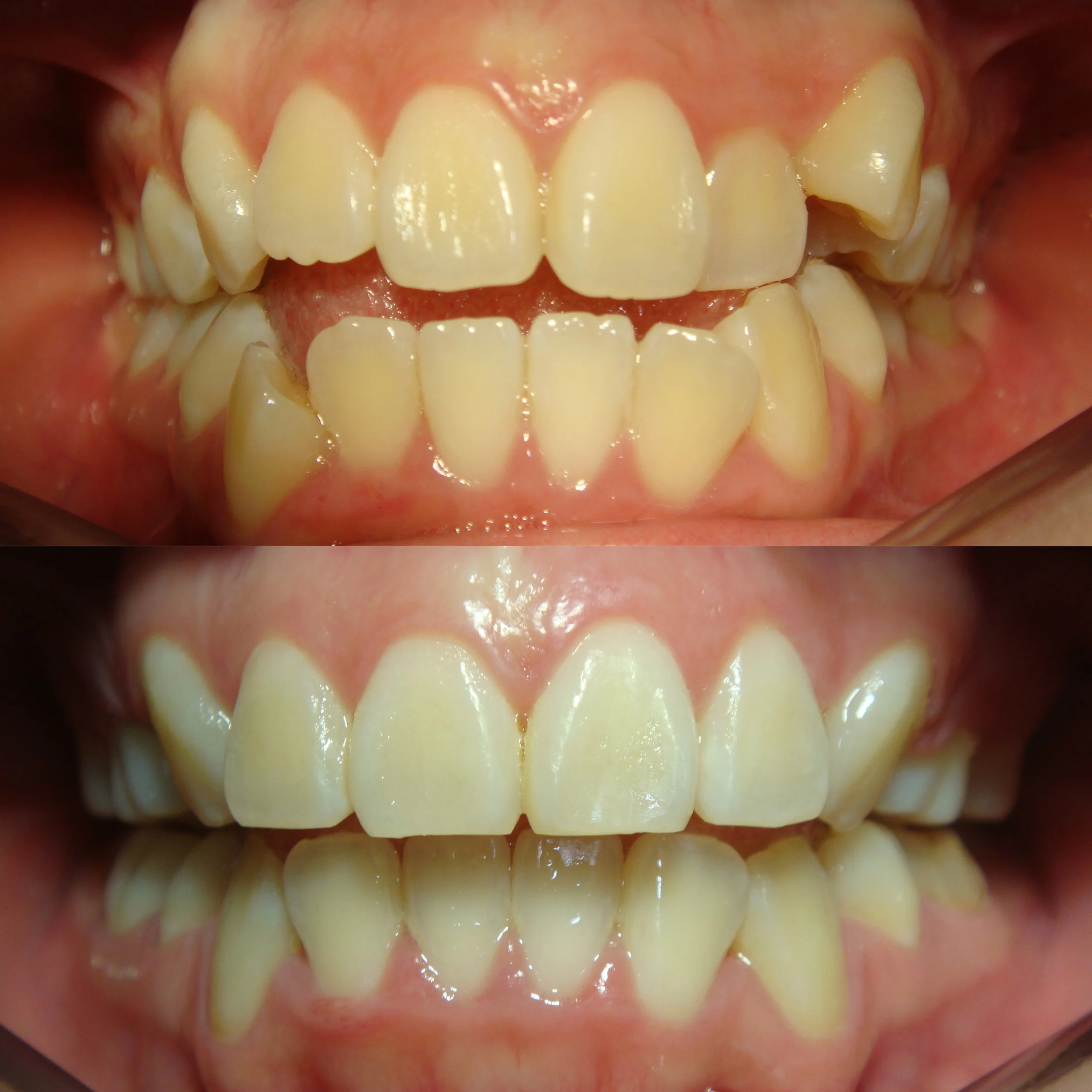
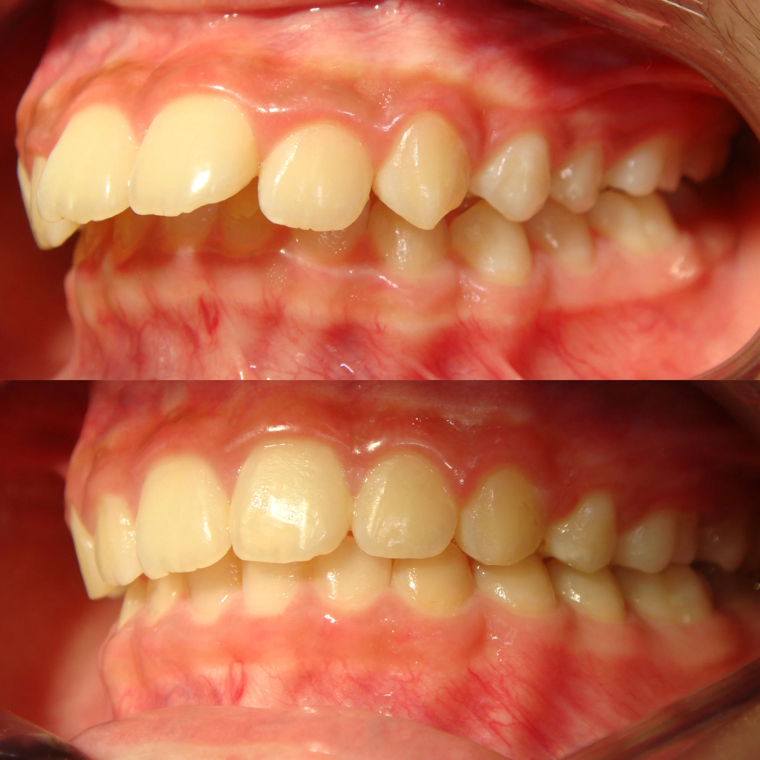
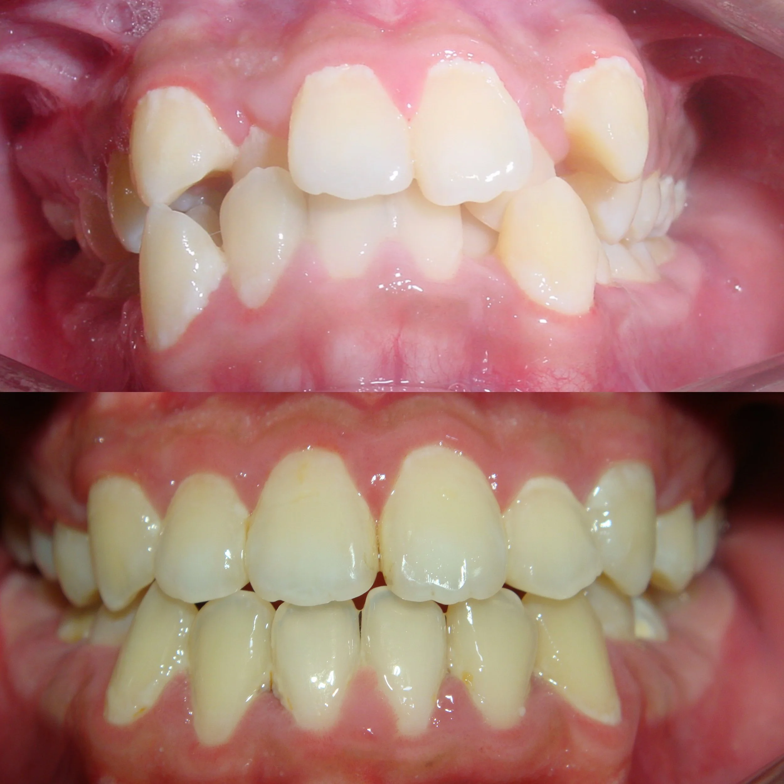
Many have seen results!

The before and after pictures tells a story that only smiles can.

Transform your smile today!

Contact us.

Text through WhatsApp is the best and fastest way to reach us!! @ +60 16-556 8359

Call us @ 04-2296998

Visit us at our convenient location in the One-Stop building at Midlands Park, 2nd floor, Pulau Tikus. For an easier landmark, we are directly opposite Penang Adventist Hospital.

 

With over 25 years of dental experience, Dr. Lee and our skilled team in Pulau Tikus, Penang, offer professional orthodontic treatments and personalized dental care for children, teens, and adults.